Scoliosis Treatments
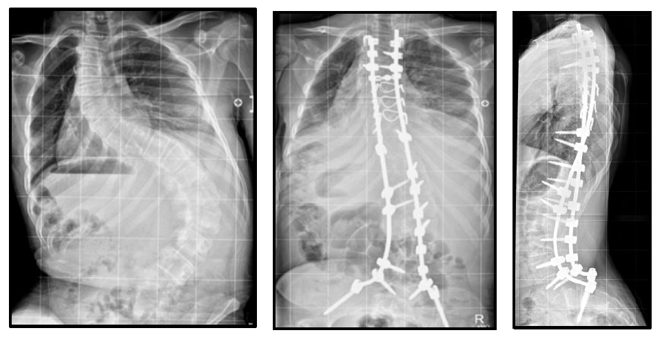
Posterior Scoliosis Correction Surgery
About This Treatment
This surgery is for patients who have a moderate to large scoliosis or kyphosis that continues to worsen. It usually involves both the thoracic and lumbar spine.
While asleep facedown, an incision is made to expose the back muscles. Two titanium rods with special screws and hooks are attached carefully to the spine. Bone graft or synthetic bone is added to help fuse the spine bones together. Spinal cord monitoring is used to keep a check on the impulses from the brain to the limbs to ensure the spinal cord is functioning normally during surgery. A machine called a 'cell saver' is used to collect any blood lost, which is then filtered by the machine and given back to the patient.
The goal of this surgery for scoliosis or kyphosis is to fuse a section of the spine so that the deformity will not continue to worsen, and to gain some level of correction. It is not possible or desirable to fully straighten the spine. The titanium rods support the vertebrae while the bones are fusing together. The metal work is not removed and stays permanently attached to the spinal column. The titanium rods should not set off airport security alarms. There is usually no need for a brace after surgery.
Read more about the surgery here:
