Scoliosis Treatments
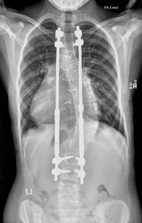
Growing Rods Lengthening Surgery
About This Treatment
The lengthening procedures usually occur every six months as your child grows. The lengthenings are performed mostly as a day procedure and occasionally require an overnight stay. It is expected that the lengthening procedure should not disrupt your child to any great extent. Growing rod lengthenings will cease when the surgeon advises it is time for the permanent correction and fusion surgery.
Read more about the surgery here:
